Cuidamos cada detalle de tu sonrisa

Porque tu sonrisa merece más que estética: merece atención, cuidado y salud

Horario de atención

Lunes - Martes - Jueves - Viernes

08.00 - 12.00 y 14.00 -18.00

Miércoles jornada continua

08.00 - 16.00

Sábados

08.00 - 13.00

¿Quiénes Somos?

En Cindy Bayuelo Ortodoncia, creemos que una sonrisa va más allá de lo estético: es un reflejo de salud, autenticidad y bienestar integral. Por eso, durante más de 10 años, hemos acompañado a niños, adolescentes, adultos jóvenes y familias en su camino hacia una sonrisa funcional, sana y estética.

Nuestro consultorio nace del compromiso profesional y humano de Cindy Bayuelo, odontóloga especialista en ortodoncia, cuya vocación de servicio ha inspirado la construcción de una experiencia cercana, ética y profesional.

Su liderazgo no solo impulsa la consulta principal en Valledupar, sino que también se extiende a otras comunidades, atendiendo pacientes en Bosconia, La Jagua de Ibirico y como parte activa del equipo profesional del sector salud en la ciudad.

Nuestros Servicios

Ortodoncia Pitts 21Pro

Una experiencia avanzada en ortodoncia. El sistema Pitts 21 Pro permite una alineación dental más eficiente, estética y cómoda gracias a su tecnología de que facilita el movimiento dental. Reduce el tiempo de tratamiento y mejora la precisión del resultado. Ideal para quienes buscan un cambio funcional y estético con innovación.

Ortodoncia invisible

Corrige tu sonrisa sin que nadie lo note. La ortodoncia invisible es una opción cómoda, estética y efectiva para alinear tus dientes con alineadores transparentes. Ideal para adolescentes y adultos que desean resultados visibles con la mayor discreción. Acompañamos todo el proceso con seguimiento constante y tecnología digital.

Ortodoncia con Brackets

La ortodoncia convencional sigue siendo una excelente alternativa para quienes buscan funcionalidad, durabilidad y resultados visibles. Utilizamos los materiales adecuados y técnicas actualizadas para brindarte un tratamiento seguro, efectivo y adaptado a tus necesidades.

Odontología general

El primer paso hacia la sonrisa que sueñas comienza con unos dientes y encías sanos . En nuestra consulta ofrecemos atención integral en odontología general: limpieza dental, resina, extracciones y tratamientos preventivos que garantizan el bienestar de tu boca. Cuidamos tu salud oral desde lo más esencial, con un enfoque personalizado y humano.

Diseño de sonrisa

Transformamos tu sonrisa con un enfoque personalizado, ético y estético. Combinamos técnicas de odontología estética como aclaramiento dental, carillas, bordes incisales y restauraciones para resaltar lo mejor de ti. Cada diseño es único, pensado para armonizar con tu rostro y reflejar tu personalidad.

Fase Higiénica Luminous

Devuélvele a tu sonrisa su frescura y luminosidad. Nuestro protocolo Luminous combina una limpieza profunda profesional con una sesión de aclaramiento dental, eliminando manchas y acumulaciones que afectan la salud y la estética de tus dientes.Es ideal para quienes buscan un cuidado completo que proteja las encías, prevenga problemas orales y potencie el brillo natural de su sonrisa.

Consulta presencial o virtual

Paso 1

Comunícate a nuestro WhatsApp 3005290299

Paso 2

Agenda tu cita según disponibilidad

Paso 3

Realízate los estudios indicados

Paso 4

Envía soporte de transferencia cita de valoración

Paso 5

Recibe el link de la Videollamada
(si es virtual)

Paso 6

Prepárate con tus estudios para nuestra cita.

Con más de 10 años de experiencia, transformamos vidas a través de sonrisas funcionales, sanas y estéticas, con un equipo que te acompaña con ética, experiencia y cuidado en cada detalle.

Lo que dicen nuestros pacientes

Casos de éxito

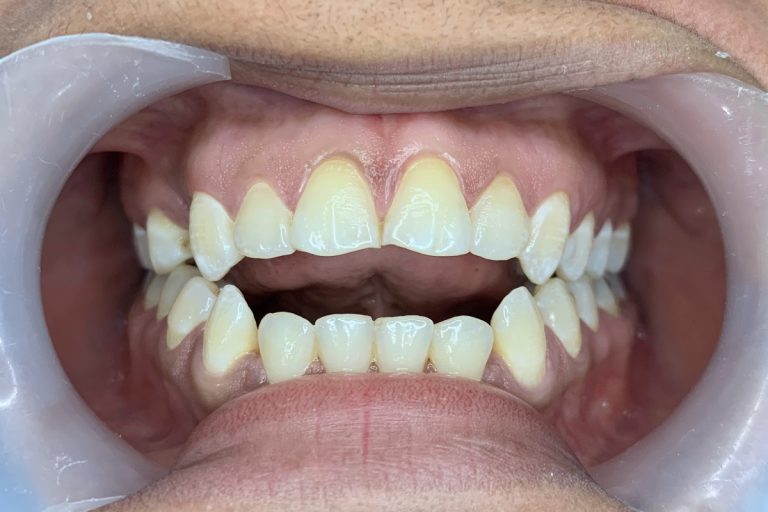
Mordida abierta

Con un tratamiento de ortodoncia auto-ligado y acompañamiento en fonoaudiología, corregimos su mordida abierta y el hábito lingual que afectaba su sonrisa. Hoy, sonríe con seguridad, armonía y sin limitaciones.

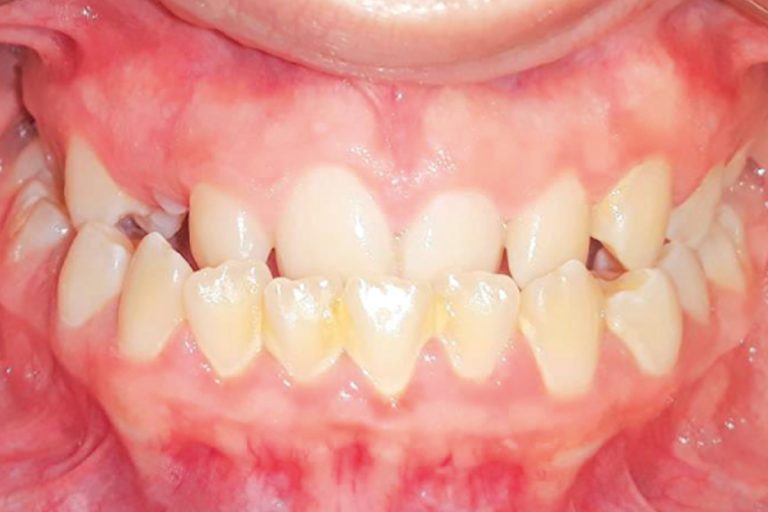
Mordida cruzada anterior y posterior

Con ortodoncia convencional corregimos su mordida cruzada anterior y posterior. El canino superior finalmente fue llevado a su posición durante el tratamiento, logramos corregir la alineación dental y la mordida.

Hoy su sonrisa es funcional, estética y le brinda confianza y seguridad para relacionarse.

Mordida abierta lateral

Corregimos su mordida abierta lateral con ortodoncia convencional, el uso de elásticos y el compromiso constante del paciente. Además, trabajamos el hábito lingual que causaba la alteración en la mordida. Hoy sonríe con confianza y equilibrio.

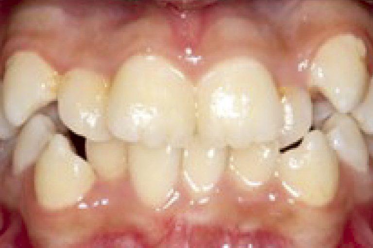
Apiñamiento severo

Este caso presentaba un apiñamiento severo. Iniciamos tratamiento con ortodoncia Pitts 21 Pro y uso de elásticos y resortes , logrando rápidamente alineación, funcionalidad y una sonrisa estética.
Transformamos el caos dental en confianza.

Habla con nosotros