Nuestros servicios

Odontología general

El primer paso hacia la sonrisa que sueñas comienza con unos dientes y encías sanos. En nuestra consulta ofrecemos todos los procedimientos de odontología general: fase higiénicas (limpieza dental), resinas, extracciones y tratamientos preventivos que garantizan tu bienestar oral. Cuidamos tu salud oral desde lo esencial, con un enfoque personalizado.

Ortodoncia invisible

Corrige tu sonrisa sin que nadie lo note. La ortodoncia invisible es una opción cómoda, estética y efectiva para corregir tus dientes con alineadores transparentes. Ideal para niños, adolescentes y adultos que desean resultados visibles con la mayor discreción. Acompañamos todo el proceso con seguimiento constante y tecnología digital.

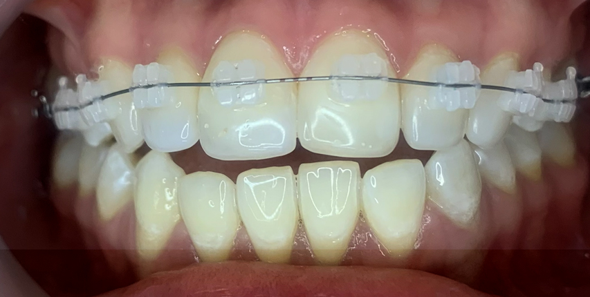
Ortodoncia con brackets convencionales

La ortodoncia convencional sigue siendo una excelente alternativa para quienes buscan funcionalidad, durabilidad y resultados visibles. Utilizamos materiales idóneos y técnicas actualizadas para brindarte un tratamiento seguro, efectivo y adaptado a tus necesidades.

Ortodoncia Pitts 21Pro

Una experiencia avanzada en ortodoncia. El sistema Pitts 21 Pro permite una alineación dental más eficiente, estética y cómoda gracias a su tecnología que facilita el movimiento dental. Reduce el tiempo de tratamiento y mejora la precisión del resultado. Ideal para quienes buscan un cambio funcional y con mayor estética.

Diseño de sonrisa

Resalta lo mejor de ti con una sonrisa que refleje tu autenticidad. El diseño de sonrisa combina técnicas de estética dental como aclaramiento, resinas, contorneado y armonización dental, adaptadas a tus rasgos y necesidades. En Cindy Bayuelo Ortodoncia te acompañamos en un proceso personalizado, ético y consciente, donde cuidamos cada detalle para lograr una sonrisa sana, estética y segura.

Ortodoncia convencional estética

Corrige la posición de tus dientes con brackets cerámicos o de zafiro, más discretos. Esta opción combina la efectividad de la ortodoncia convencional con un diseño más armónico y estético. Ideal para quienes desean resultados visibles sin comprometer su imagen.

Rehabilitación oral

Restablecemos la función, estética y salud de tu boca. En casos donde hay pérdida o desgaste dental, combinamos diferentes tratamientos como coronas, prótesis, incrustaciones y diseño de sonrisa, adaptados a tus necesidades. Nuestro enfoque es integral, ético y personalizado.

Endodoncia

Dale una nueva oportunidad a esa pieza dental que considerabas perdida. La endodoncia es un tratamiento especializado para eliminar infecciones internas del diente, preservar su estructura y aliviar el dolor. Utilizamos técnicas precisas y tecnología avanzada para brindarte una atención segura y efectiva.

Periodoncia

La salud de tus encías es vital para una sonrisa duradera. La periodoncia se encarga de prevenir, diagnosticar y tratar enfermedades que afectan los tejidos que rodean y soportan los dientes. Realizamos limpiezas profundas, curetajes y seguimientos personalizados para cuidar tus encías y hueso dental.

Control de retenedores

Después del tratamiento de ortodoncia, el tratamiento no termina. Realizamos controles periódicos de tus retenedores, revisando su estado y ajustándolos, para asegurar que los resultados se conserven en el tiempo. Tu nueva sonrisa necesita seguimiento y cuidado. ¡No la descuides!

Neuromiorelajantes (Placas de bruxismo)

Si aprietas los dientes, presentas dolores en la mandíbula o tensión facial, podrías necesitar una placa de bruxismo. Estas placas personalizadas ayudan a relajar los músculos y proteger tus dientes del desgaste, mejorando tu descanso y bienestar general.

Habla con nosotros